Lingual Braces
Smile Studio Penarth is a certified Invisalign practitioner.
The Invisalign treatment can transform your smile and improve your oral health by discreetly straightening your teeth.
There are no metal wires or brackets like traditional braces, which means that Invisalign aligners are comfortable, safe and virtually invisible.
They can be removed for short periods so that you can eat, drink, brush and floss as normal. You can even remove them for a night out or special event when you want to look your best. This means that Invisalign can fit into your daily routine with no fuss or embarrassment.
At Smile Studio Penarth, our team are experts in lingual braces.
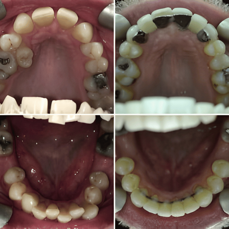
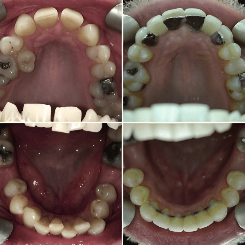
Lingual braces in Penarth are a highly effective treatment that can transform your smile and improve your oral health by straightening your teeth with a hidden, fixed solution.
These braces are placed on the inside surface of your teeth, making them completely invisible from the front. They offer the precision and power of traditional braces, but with the added benefit of being discreet. This allows you to go about your daily routine with complete confidence and no fuss.
Lingual Braces Before & After Treatment

What the treatment is for
Smile Studio Penarth uses lingual braces to expertly correct a variety of common problems, including:



Gaps and Spacing
Lingual braces are highly effective for closing unsightly gaps between teeth, which can be caused by genetics or missing teeth. They work by applying consistent, targeted pressure to bring your teeth into proper alignment. This improves the appearance of your smile and helps to boost your oral health in a discreet way.


Latest Reviews
Other Treatments
EST. DENTIST IN PENARTH FOR OVER 100 YEARS
Award Winning Dentist
We provide all aspects of general, cosmetic and specialist dentistry.
We provide all aspects of general, cosmetic and specialist dentistry including NHS care for children.














