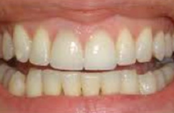
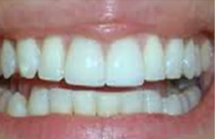
Tooth Whitening
Your smile is important. It’s one of the first things people notice when they meet you. A whiter, brighter smile achieved through teeth whitening in Penarth can boost your confidence and help you to make a great impression.


Teeth Whitening at Smile Studio Penarth
The Benefits of a Whiter Smile
- Instant Confidence Boost: A brighter, whiter smile often makes people feel younger and more confident in both social and professional settings.
- Target Stubborn Stains: Our professional treatment is highly effective against the deep discolouration caused by factors like coffee, tea, red wine, smoking, and the natural process of ageing.
- Safe and Reliable: All treatment is supervised by our dentists, ensuring the safety of your gums and enamel throughout the entire process.
Why Professional Whitening Beats Retail Kits
Unlike generic kits you find in shops, professional tooth whitening is a supervised medical procedure. We custom-make trays specifically for your mouth, which ensures the prescribed whitening gel is distributed evenly and safely. This level of precision leads to far superior, more predictable, and longer-lasting results than any over-the-counter product.
Your Journey to a Brighter Smile
Your treatment starts with a consultation to confirm your teeth are healthy and suitable for whitening. We then create your custom-fitted trays in the practice. You simply fill the trays with the prescribed whitening gel and wear them for a specified time each day at home. We’ll guide you through the process until you achieve your desired, brilliant shade.
Ready to transform your look with a dazzling smile? Contact Smile Studio Penarth today to book your tooth whitening consultation and start your journey to a brighter smile!
Latest Reviews
Other Treatments
EST. DENTIST IN PENARTH FOR OVER 100 YEARS
Award Winning Dentist
We provide all aspects of general, cosmetic and specialist dentistry.
We provide all aspects of general, cosmetic and specialist dentistry including NHS care for children.













