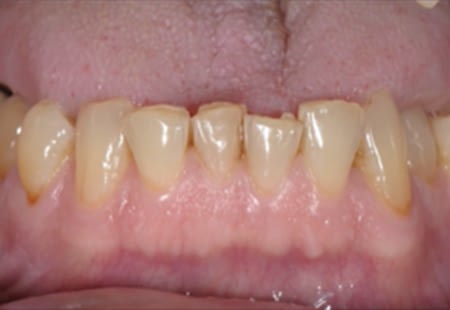
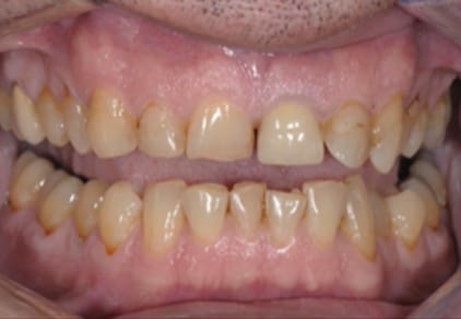
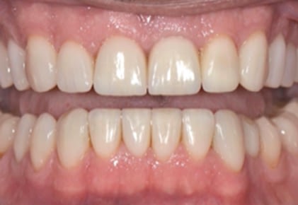
Veneers
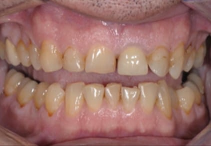
Many people are self conscious about their smile and would like to improve certain aspects.
Problems could include:
- Stained teeth
- Unsightly fillings
- Unsightly crowns
- Teeth that are too short as a result of grinding
- Gum lines of adjacent teeth that do not match.
Ask us about Porcelain Veneers


Ask us about fixing your teeth


Smile Studio Penarth can offer a comprehensive range of safe and effective procedures to solve these problems and improve the look of your teeth.
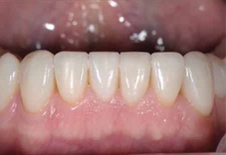
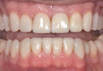
Porcelain Laminate Veneers
We can use them to:
Close spaces between teeth
Improve tooth colour
Increase tooth size
Teeth that are too short as a result of grinding
Straighten teeth
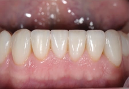
Composite Bonding
We use a technique called composite resin bonding to repair fractured teeth. We can also use bonding to change the shape and colour of teeth in a similar way to veneers. Unlike veneers, Bonding can be completed in one visit and does not require laboratory procedures.
Latest Reviews
Sheila Hobbs14/10/2025Trustindex verifies that the original source of the review is Google. Emergency appointment kindly booked for me Prompt , efficient and effective treatment given by the Dentist with appropriate explanation using big screen and advice on how to proceed at next appointment Giancarlo Cancelliere13/10/2025Trustindex verifies that the original source of the review is Google. Fantastic people from the receptionists to the nurses and dentists. Got me in on short notice and fixed my tooth. Thanks so much Michael Scott11/10/2025Trustindex verifies that the original source of the review is Google. I had a minor dental emergency, and my usual dental practice in Penarth said I'd have to wait 5 days to see a dentist. So I called Smile Studio, and they saw me within 45 minutes. The dentist did a great job, and the fee was very reasonable. I've now registered with them. Alana O'Brien09/10/2025Trustindex verifies that the original source of the review is Google. Such a lovely clinic, I feel in very safe hands when I visit 😊 Debbie Jones01/10/2025Trustindex verifies that the original source of the review is Google. what an absolutely fabulous experience at Smile Studio. As i walked in i was greeted by the most lovely, polite receptionist. Then i went upstairs and met the dentist Chris who put my mind at ease instantly. His, and his nurses manner are both wonderful. Really made me feel relaxed and comfortable. The tooth extraction was quick and painless, i didnt even realise it was done. This is truly a superb dental practice, plus the prices are very competitive. I am so glad to have found Smile Studio. Glenda Dudley24/09/2025Trustindex verifies that the original source of the review is Google. Appointment with Dr. Rory Dewhurst at Smile Studio, Penarth. Excellent as always. Rory is kind, gentle, clear about the process and the steps to be taken. He has a calm, reassuring demeanour. During treatment, where he uses the latest techniques in dentistry, he regularly checks that all is well and explains how far through the treatment we are, so you are clear about what to expect next. The final result never disappoints. His work is of the highest standard. I trust Rory to provide the best level of care and treatment at every appointment. I highly recommend Rory, he is a consummate professional. Nick Clarke19/09/2025Trustindex verifies that the original source of the review is Google. A great dentist experience All staff are lovely and treatment was excellent Catherine Nelson30/08/2025Trustindex verifies that the original source of the review is Google. What a great Dentist Studio .I have always been afraid of the Dentist but from the time I walked through the door, greeted by the lovely Receptionist called Laura who was really friendly , to being treated by a fantastic Dentist Nitin I immediately felt at ease , he assured me everything would be fine, and within a 4week period I was smiling again with my teeth looking great again SMILE STUDIO you certainly live up to your name I highly recommend this placeGoogle rating score: 4.8 of 5, based on 67 reviewsVerified by TrustindexTrustindex verified badge is the Universal Symbol of Trust. Only the greatest companies can get the verified badge who has a review score above 4.5, based on customer reviews over the past 12 months. Read more
Other Treatments
EST. DENTIST IN PENARTH FOR OVER 100 YEARS
Award Winning Dentist
We provide all aspects of general, cosmetic and specialist dentistry.
We provide all aspects of general, cosmetic and specialist dentistry including NHS care for children.













